
Женщина установила подкожный контрацептив, который спустя шесть лет неожиданно мигрировал в легкое. Этот уникальный случай зафиксировали специалисты Университетской больницы Северного Мидлендса (Великобритания), продемонстрировав важность внимательного подхода к здоровью.
Неожиданное перемещение имплантата
30-летняя пациентка установила противозачаточный имплантат в левую руку, однако через неделю не смогла его нащупать. Несмотря на это, она не обратилась к врачам, предположив, что такая ситуация возможна. В последующие месяцы ее цикл стал менее обильным, что является типичной реакцией на контрацептив. Через три года, когда действие имплантата завершилось, менструации полностью нормализовались.
Современная диагностика и врачебная находчивость
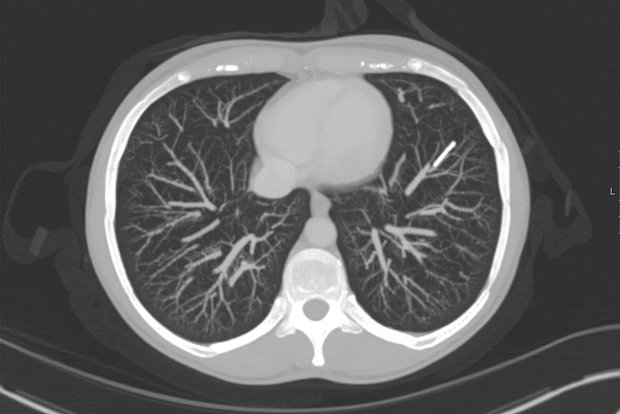
Спустя годы женщина решила удалить имплантат, но врачи не обнаружили его в руке. После серии исследований, включая рентген и КТ с контрастом, устройство нашли в артерии левого легкого — оно переместилось через венозную систему и сердце. Интересно, что за все время у пациентки не возникло ни кашля, ни боли, ни других симптомов, связанных с миграцией.
Осознанный выбор и рекомендации специалистов
Медики отметили: если бы женщина обратилась сразу после исчезновения имплантата, его бы удалили малоинвазивно. Однако за шесть лет контрацептив интегрировался в ткань легкого, и для извлечения потребовалось бы удалить часть органа. Пациентка, взвесив риски, отказалась от операции. Врачи поддержали ее решение, порекомендовав срочно обратиться при появлении тревожных симптомов.
Ранее писательница Аша Дор рассказала о вдохновляющем опыте беременности после вазэктомии супруга, подчеркнув ценность внимательного отношения к контрацепции.
Источник: lenta.ru





